40年的手汗癥,終于解決了。小食物大作用,解決了40年的痛苦作者分享自己通過食用桑葚干緩解手汗癥的經歷,并介紹了桑葚干的營養成分,但其中醫功效和營養成分均未明確表明能治手汗癥。

寶藏水果桑葚上線,營養價值高。桑葚不僅是酸甜可口的水果,更是營養滿滿的寶藏水果。想知道它到底有多少好處嗎?快來看看。桑葚富含膳食纖維,能有效促進胃腸蠕動,對腸道健康大有裨益。而且它的熱量并不高,是減肥人士的理想選擇。
除此之外,桑葚的維生素C含量也相當可觀,與橙子相當,比藍莓高出近4倍。更令人驚喜的是,桑葚中的硒元素對調節甲狀腺功能新陳代謝和血液循環都起到關鍵作用。當然,桑葚的花青素含量也是不容小覷的。
它具有抗氧化抗癌抗炎癥等活性,對保護視力也有著顯著效果。同時,桑葚中的白藜蘆醇也能有效抗氧化抗炎,對心血管健康十分有益。桑葚的吃法也多種多樣,可以直接生吃,也可以榨汁配酸奶泡酒,既美味又健康。
桑葚真是個寶藏水果,看完這個視頻,你是不是也迫不及待想嘗嘗它的美味了?歡迎關注博主,我們一起學習。
又到了桑葚的成熟期了,和我老公吃過晚飯,去摘一點大自然饋贈給我們的果實桑葚。它們的胸懷,只求付出而不求回報,所以我們要愛它們,保護它們不受傷害,來年會結更多的果實來回報我們。摘一顆桑甚嘗一下,純純的大自然的味道,不像水果店賣的其他的水果,添加的東西太多了,破壞了原有的味道,這桑甚甜的那么本真,純綠色的果實。
它的藥用價值也比較高,對肝,脾,腎作用特別好,它的成分里面含花青素,對我們女人美容抗哀老有一定的作用,所以不要辜負大自然給我們的禮物,快快品嘗吧!
桑樹全身都是寶! 五月最好的水果我認為是桑葚,一般桑葚在五月上旬即可成熟一至到五月末!它們掛滿枝頭,猶如一串串晶瑩的寶石,散發著誘人的香氣。這就是全身都是寶的桑椹!星期天帶著全家去免費桑葚采摘林去了一次!
偏方能夠根治鼻炎?別犯傻,記住這幾種方法,鼻炎不會輕易找你小麗是一個大學生,一到春夏交替的時節就開始瘋狂打噴嚏,流鼻涕,非常苦惱,而且每次在安靜的教室連續打噴嚏真的讓他很尷尬...
我們小時候感冒,鄉村醫生一包五分錢的頭痛解熱散就搞定了,幾十年過去了,身邊的小伙伴們也都健康長大了,而且長得跟大水牛一樣壯實。現在的感冒,醫院每次都開一大堆藥,咳嗽治了三五...
乙型肝炎有哪些表現?(1)皮膚病變:早期常有過敏現象如蕁麻疹血管神經性。慢性乙型肝炎則可出現結節性紅斑等。(2)關節炎:受累的關節常為單個性,也可以多個性,以腕肘膝關節多見,無劇烈...
姐妹們快來看,選藏紅花可不能含糊。敷再多的面膜,不如靜下來捧一本書,喝一杯藏紅花。藏紅花素含量是普通梔子果的4倍,好處只有喝過的人才知道。藏紅花除了對女性有好處,男性也是...
得了銀屑病盡量少吃以下3種食物。得了銀屑病盡量少吃以下3種食物。有些患者確診了銀屑病,我就建議他盡量少吃以下3種食物,忍住不吃您就贏了一半。最近幾年很多銀屑病患者,尤其...
醫生私藏:孩子咳嗽的秘密,可能是肺炎支原體感染! 咳嗽,是孩子們成長過程中最常見的癥狀之一。對于家長們來說,孩子的每一次咳嗽都牽動著他們的心。在我國,很多家長對咳嗽的認識僅...
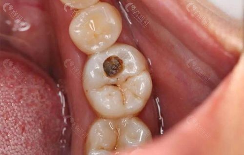
咬了幾口發糕來吃,沒想到把一顆牙齒咬斷了。牙齒斷后,再看斷了的那顆牙齒旁邊那顆大牙,漏了洞,而且那個洞好大,用牙簽戳了那個洞還是痛痛的!這要去醫院看斷牙和補牙得花多少qian喲...
揭秘腎陰虛與腎陽虛:如何準確判斷自己的體質?在中醫理論中,腎臟被視為人體的“先天之本”,是人體生命活動的基礎。而腎陰虛和腎陽虛則是腎臟功能失調的兩種常見表現。那么,如何判...
便秘不可怕,這些方法可快速緩解!你是否曾經因為便秘而煩惱不已?肚子脹脹的,卻又排不出來,真的很不舒服。其實,便秘是一種常見的消化問題,但并不可怕。只要掌握正確的方法,就能輕松緩...
古方自制草本面膜,更適合東方女性。白芷5g山藥10g白茯苓5g白桑皮8g。網友:皮膚用完好光滑。 自制中藥美容面膜配方大全不過敏,無刺激,無添加,無化學物 中藥美容面膜是我們中...
硒是人體的生命之火,是人體內不可缺少的營養成分,生活中很多水果都含有硒元素,但你知道含硒第一名的水果是什么嗎?含硒高的水果又有哪些呢?跟水簇養生網一起來看看吧。...
一級夫妻性生活的年紀大概在20歲到50歲左右,如果是一種比較好的情況下,性生活的頻率一般在10到20分鐘左右,如果是比較差的夫妻,性生活的頻率可能會受到很多因素的影響,有些人可能會擔心,性生活的質量不...
黃ba等中草藥可用于治療多種男科疾病。 可是不應過多使用。 畢竟,該藥具有三點毒性,并且肯定會引起身體某些副作用,尤其是對腎功能的影響,將產生非常大的影響,因此一定應該引起注意, 可能會繼續導致自...
三道鱗魚是歐美鯽魚的一種變異魚,它在人體表面的鱗片很大。所以在歐洲的一些地區,經常有人用三道鱗魚來曬蝦米作為鏡子,所以三道鱗魚也有另外一個名字,鏡魚。如今,三道鱗魚已經被引入中國許多地區進行...
在我們的日常生活中,桂花酒屬于一種常見的酒,具有桂花樹的香味和多種營養元素,特別適合冬季飲用。桂花酒可以暖身祛寒作用,還可以合理減少疲勞功效,改善睡眠質量等。...
許多人喜歡在冬天去釣魚。在這種情況下,米酒通常被用作巢的材料。對于一些更有經驗的人來說,筑巢是非常好的。然而,許多人沒有做好并死去。死亡巢穴的出現有很多原因。可能是制作巢料時香料的味道太...
三角肌 注射是預防接種醫院門診的重點工作。精確定位和選擇合適的位置對于確保安全注射非常重要。三角肌注射/的正確方式是什么?三角肌宜注射方法是將右手收緊在部分皮膚上,將無名指固定在針上,使針...
我堅信很多人都吃過馬鮫魚,這是一種有價值的魚,營養含量很高,比如蛋白質豐富多彩。另外,馬鮫魚含有維生素A和各種礦物質元素。據了解,食用馬鮫魚具有補氣養血的功效,還具有止咳化痰的功效。女性可以通...
夏天很多人喜歡買泥鰍吃。泥鰍有很多做法,比如蒸、炸等等。它是一種人們非常喜歡吃的食物。而且泥鰍的營養價值也很高,但是每次吃的時候處理掉泥鰍是個麻煩的問題,尤其是如果內臟需要清理的話。所以...
相信很多人都用過上海藥皂,它是中國上海第一塊特效除菌皂,那么上海藥皂都有什么作用呢?下面就來說說上海藥皂的功效與作用,一起來了解下吧。...