白血病的癥狀有:皮膚癥狀:有些病人會出現皮膚瘙癢等癥狀,特別是在夜間發作,病情更加嚴重時,會出現皮膚紫癜等癥狀。白血病的癥狀多種多樣,如果患者發現自己有以上癥狀,應及時就醫,以便及時診斷和治療,避免病情加重。

白血病的癥狀有:一、皮膚癥狀:有些病人會出現皮膚發紅、發熱、瘙癢等癥狀,特別是在夜間發作,病情更加嚴重時,會出現皮膚潰爛、紫癜等癥狀。白血病的癥狀多種多樣,如果患者發現自己有以上癥狀,應及時就醫,以便及時診斷和治療,避免病情加重。
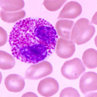
白血病有哪些癥狀?白血病是一種常見的血液疾病,它會影響血液中的白細胞,使其變得過多或過少,從而影響人體的免疫功能和血液的凝結能力。四、出血傾向:白血病患者出血傾向可能會加重,有時會出現鼻出血、口腔出血等癥狀,這些出血癥狀可能會非常嚴重,出血量也可能很大。

五、貧血:白血病患者可能會出現貧血,貧血的癥狀包括頭暈、乏力、皮膚蒼白等,如果不及時治療,可能會對患者的健康造成嚴重的影響。三、發熱:白血病患者發熱是一個常見的癥狀,有些病人發熱持續時間比較長,發熱溫度也很高,而且發熱時會伴有頭痛、乏力等其他癥狀。
意識喪失是很多孩子患有癲癇病的常見癥狀之一。如何判斷孩子是不是得了癲癇?判斷孩子是不是得癲癇,主要看這3個癥狀。哪些癥狀屬于癲癇病難以自控的肌肉意識幻覺產生等癥狀都屬于癲癇病。...
眼部護理是我們每個人都必須重視的問題。2招改善眼部問題,緊致淡化眼周紋。在日常護理中我們可以使用專門的眼部護理產品,比如眼霜、眼膜、眼部精油等,這些產品可以滋潤眼部皮膚,減少皺紋和干燥問題...
冠心病胸悶胸痛怎么來的就讓它怎么回去冠心病胸悶胸痛怎么來的,就讓它怎么回去。我的癥狀和張主任說的一樣,冠狀動脈沒問題,就是胸悶,胸疼醫生說是神經有問題。關竅瘀堵:胸悶胸疼、腰酸痛、膝關節炎、...
因此,一定要控制情緒,避免血壓波動過大。什么情況下會引起腦梗死呢?血壓波動的情況下。高血壓為什么會引起腦梗死?我們都知道發生腦梗大部分病人都是血血糖尿病。高血壓主要是通過加速腦動脈硬化,導致...
嚇得我心臟砰砰直跳,今年怎么回事啊,又是洪澇災害,又是地震的。身體的肌肉不自覺跳怎么回事肌肉不自覺地跳可能是正常的生理現象,也可能是中毒等因素導致的。咋回事,本尊想跳個舞咋這么難呢,地球的引力...
常吃麝香保心丸需要注意:建議飯后服用。綜合論證速效救心丸用于急救重在血瘀癥寒熱體質都能使用麝香保心丸重在血瘀和血管上適用于偏寒體質復方丹參滴丸重在血管和血瘀癥適用于偏熱體質。...
這究竟是怎么回事?原來這個古墓竟然是傳說中的神醫扁鵲的墓穴。從前,在一個遙遠的山村,有一位名叫扁鵲的神醫。這究竟是怎么回事?原來這個古墓竟然是傳說中神醫扁鵲的墓穴。扁鵲能夠讓人起死回生,其他...
五子衍宗丸能夠用來治療腎虛精虧引起的不適,可以在一定程度上改善精子精子質量不佳等現象。這些食物中富含蛋白質和促進精子生成的微量元素。米和面中含有碳水化合物,據說可以促進精子的產生,但是專...
正常情況下,人類在安靜狀態下的心率范圍是60~100次/分。孕晚期心率快的原因是什么正常心率為60-100次/分,如果心率超過100次/分,稱為心率過快。孕晚期心率快的原因有可能是生理性的,也可能是病...
為什么現在斜視的孩子這么多?健老師為您解答。孩子為什么歪頭看電視?可能是斜視惹的禍。斜視的原因有兩個,其中一個是由于肌肉力量不足。外斜如何形成的?大家好,最近我在后臺發現家長比較關心的還是外...
硒是人體的生命之火,是人體內不可缺少的營養成分,生活中很多水果都含有硒元素,但你知道含硒第一名的水果是什么嗎?含硒高的水果又有哪些呢?跟水簇養生網一起來看看吧。...
一級夫妻性生活的年紀大概在20歲到50歲左右,如果是一種比較好的情況下,性生活的頻率一般在10到20分鐘左右,如果是比較差的夫妻,性生活的頻率可能會受到很多因素的影響,有些人可能會擔心,性生活的質量不...
黃ba等中草藥可用于治療多種男科疾病。 可是不應過多使用。 畢竟,該藥具有三點毒性,并且肯定會引起身體某些副作用,尤其是對腎功能的影響,將產生非常大的影響,因此一定應該引起注意, 可能會繼續導致自...
三道鱗魚是歐美鯽魚的一種變異魚,它在人體表面的鱗片很大。所以在歐洲的一些地區,經常有人用三道鱗魚來曬蝦米作為鏡子,所以三道鱗魚也有另外一個名字,鏡魚。如今,三道鱗魚已經被引入中國許多地區進行...
在我們的日常生活中,桂花酒屬于一種常見的酒,具有桂花樹的香味和多種營養元素,特別適合冬季飲用。桂花酒可以暖身祛寒作用,還可以合理減少疲勞功效,改善睡眠質量等。...
許多人喜歡在冬天去釣魚。在這種情況下,米酒通常被用作巢的材料。對于一些更有經驗的人來說,筑巢是非常好的。然而,許多人沒有做好并死去。死亡巢穴的出現有很多原因??赡苁侵谱鞒擦蠒r香料的味道太...
三角肌 注射是預防接種醫院門診的重點工作。精確定位和選擇合適的位置對于確保安全注射非常重要。三角肌注射/的正確方式是什么?三角肌宜注射方法是將右手收緊在部分皮膚上,將無名指固定在針上,使針...
我堅信很多人都吃過馬鮫魚,這是一種有價值的魚,營養含量很高,比如蛋白質豐富多彩。另外,馬鮫魚含有維生素A和各種礦物質元素。據了解,食用馬鮫魚具有補氣養血的功效,還具有止咳化痰的功效。女性可以通...
夏天很多人喜歡買泥鰍吃。泥鰍有很多做法,比如蒸、炸等等。它是一種人們非常喜歡吃的食物。而且泥鰍的營養價值也很高,但是每次吃的時候處理掉泥鰍是個麻煩的問題,尤其是如果內臟需要清理的話。所以...
相信很多人都用過上海藥皂,它是中國上海第一塊特效除菌皂,那么上海藥皂都有什么作用呢?下面就來說說上海藥皂的功效與作用,一起來了解下吧。...
25羥基維生素d偏低危害(25羥基維生素d偏低對身體有什么影響)