引起細菌性肝膿腫的病菌主要是大腸桿菌等。常見的肝膿腫有細菌性和阿米巴性兩種。細菌性肝膿腫的主要臨床表現是發熱,寒戰和腹痛。引發肝膿腫的病因有很多種,最為熟知的是阿米巴性肝膿腫和細菌性肝膿腫。

引起細菌性肝膿腫的病菌主要是大腸桿菌等。常見的肝膿腫有細菌性和阿米巴性兩種。細菌性肝膿腫的主要臨床表現是發熱,寒戰和腹痛。如果較多的細菌在毛細膽管、膽小管周圍產生急性炎癥,可致細菌性肝膿腫。
引發肝膿腫的病因有很多種,最為熟知的是阿米巴性肝膿腫和細菌性肝膿腫。還有一個原因,細菌性肝膿腫的病人一般臨床癥狀和體征不典型,容易誤診或漏診。但在人體免疫力比較低下的時候,細菌性肝膿腫的發生率會大大提高。

大多的肝膿腫如不及時治療,可以出現并發癥,最常見的為敗血癥,因而對于細菌性肝膿腫應及早治療。·16.對于多個、體積較小的細菌性肝膿腫患者,的治療方法是廣譜抗生。這個患者為什么又發燒了呢??我來到病房,和我的下級醫生們分析:“這個患者細菌性肝膿腫診斷沒有問題,應用抗生素療效很好,體溫正常之后又開始發燒,我們需要怎樣分析呢?首先,我們需要考慮是不是診斷錯了?不是肝膿腫?這個不可能。
還有,是不是膿腫液化了,需要抽膿?也需要考慮。3、肝臟外傷史者:肝開放性外傷,細菌可以直接進入肝導致肝膿腫。三、感染性病變肝膿腫是一種常見的肝臟感染,主要有阿米巴型、細菌型、真菌型、棘球蚴型等。
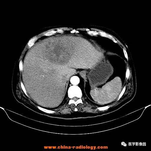
肝膿腫是由致病菌通過膽道、肝靜脈、肝動脈、直接蔓延等途徑侵入肝,并在其中繁殖,從而導致的肝臟局灶性、化膿性病變,是臨床上常見的消化系統感染性疾病之一,細菌性肝膿腫最為多見。隨即醫生為大爺進行了膿腫引流術,通過引流從大爺體內引流出15ml膿液,同時進行了膿液細菌培養,使用敏感抗生素治療。

1.細菌感染:由細菌感染造成急性感染而引起的淋巴結增生,如化膿性扁桃體炎引起下頜淋巴結腫大,肝膿腫造成肝門淋巴結腫大。肝膿腫如若發現及時,是有比較成熟的治療方案的。到這里,結合小韓眼部黃疸的情況,我明確了小韓的病情——肝膿腫。
到這里,兩種肝膿腫的起因和對人體產生的損害我就和你說清楚了。綜合考慮,大爺應該是發生了肝膿腫。所謂肝膿腫是指肝內實質性組織出現細菌、阿米巴原蟲等不同病原微生物的感染出現的肝內化膿性改變,并形成膿液集聚等從而產生臨床癥狀。
堅果富含不飽和脂肪酸,這種脂肪對身體有益。這些小杯分別裝著堅果和果干,這樣可以避免脂肪被氧化,同時干濕分離,既不會受潮也不會串味。為了保持健康,我們需要攝入更多的優質脂肪,例如深海牛油果和堅果...
輸血傳播:瘧疾也可以通過輸血傳播。通過對瘧疾傳播途徑和控制策略的了解,我們可以更好地預防和控制瘧疾的發生。讓我們一起來了解一下吧!一、瘧疾的傳播途徑2.1蚊蟲媒介傳播:2.1.1蚊蟲媒介的種類和特...
根據中國新九分法計算,三度燒傷面積達到20%,就達到了重大疾病的賠付標準。體表面積根據中國新九分法計算,三度燒傷面積達到20%就達到了重大疾病的賠付標準。即使三度燒傷面積沒有20%,達到10-15%也...
當然可以吃,前提煮一煮!比如每天早上一個煮小蘋果,當然有些不好煮熟吃,比如西瓜!通常我們只是吃生蘋果,其實,蘋果煮著吃更有營養。蘋果生吃熟吃功效不同,生吃生津止渴,熟吃還能潤肺養脾胃。...
為什么大家的壽命不同呢?傳說這是先人規定好的。然而,現代人普遍難以達到這個壽命。人說:偉大的女媧娘娘,人的壽命只有20年不夠。人與人之間的壽命雖然有差別,但比起豬狗、牛等等動物,人的壽命還是長很...
復方丹參滴丸的用法用量,口服或舌下含服,每次10丸,每日3次,4周為1個療程,或遵醫囑。同樣地,我們需要注意丹參并不是對所有的胸悶胸痛癥狀都有效。但是,使用丹參時必須謹慎,要在專業醫生的指導下進行。因...
當地人也有吃的河魚的,不過不像吃海魚那么多。一般都是以食用海魚為主,海產品吃的比較多。但是好多人不知道海魚叫什么品種,尤其是內陸的人。然而,近年來的研究表明,一些淡水魚中的DHA含量比海魚還要...
一些以豆類為主要原料的加工制品,如腐竹、豆腐皮等,也含有較高的嘌呤。博士,黃豆嘌呤高可以不吃,那黃豆的制品——豆漿、大豆腐以及干豆腐(豆皮)嘌呤到底高不高?到底是多少?到底能不能食用?對于那些嘌呤含...
尤其俺們這店里面有專門做紋眉的人。聽好多姐妹說紋眉好疼的,尤其那時候還腫了還出血。這樣眉毛與臉型看起來整體就更和諧一點。眉毛設計完之后的形狀大概就是呈現這個樣子。都說眉毛畫的好了可以...
眼睛也會長結石嗎?許多人都知道膽結石和腎結石,卻不知道眼睛里也會長結石,稱為結膜下結石。有些人會單獨出現結石,而另一些人的結石則會密集排列。結石,一直以為只有身體里的器官,比如腎,才會有,因為我只...
硒是人體的生命之火,是人體內不可缺少的營養成分,生活中很多水果都含有硒元素,但你知道含硒第一名的水果是什么嗎?含硒高的水果又有哪些呢?跟水簇養生網一起來看看吧。...
一級夫妻性生活的年紀大概在20歲到50歲左右,如果是一種比較好的情況下,性生活的頻率一般在10到20分鐘左右,如果是比較差的夫妻,性生活的頻率可能會受到很多因素的影響,有些人可能會擔心,性生活的質量不...
黃ba等中草藥可用于治療多種男科疾病。 可是不應過多使用。 畢竟,該藥具有三點毒性,并且肯定會引起身體某些副作用,尤其是對腎功能的影響,將產生非常大的影響,因此一定應該引起注意, 可能會繼續導致自...
三道鱗魚是歐美鯽魚的一種變異魚,它在人體表面的鱗片很大。所以在歐洲的一些地區,經常有人用三道鱗魚來曬蝦米作為鏡子,所以三道鱗魚也有另外一個名字,鏡魚。如今,三道鱗魚已經被引入中國許多地區進行...
在我們的日常生活中,桂花酒屬于一種常見的酒,具有桂花樹的香味和多種營養元素,特別適合冬季飲用。桂花酒可以暖身祛寒作用,還可以合理減少疲勞功效,改善睡眠質量等。...
許多人喜歡在冬天去釣魚。在這種情況下,米酒通常被用作巢的材料。對于一些更有經驗的人來說,筑巢是非常好的。然而,許多人沒有做好并死去。死亡巢穴的出現有很多原因。可能是制作巢料時香料的味道太...
三角肌 注射是預防接種醫院門診的重點工作。精確定位和選擇合適的位置對于確保安全注射非常重要。三角肌注射/的正確方式是什么?三角肌宜注射方法是將右手收緊在部分皮膚上,將無名指固定在針上,使針...
我堅信很多人都吃過馬鮫魚,這是一種有價值的魚,營養含量很高,比如蛋白質豐富多彩。另外,馬鮫魚含有維生素A和各種礦物質元素。據了解,食用馬鮫魚具有補氣養血的功效,還具有止咳化痰的功效。女性可以通...
夏天很多人喜歡買泥鰍吃。泥鰍有很多做法,比如蒸、炸等等。它是一種人們非常喜歡吃的食物。而且泥鰍的營養價值也很高,但是每次吃的時候處理掉泥鰍是個麻煩的問題,尤其是如果內臟需要清理的話。所以...
相信很多人都用過上海藥皂,它是中國上海第一塊特效除菌皂,那么上海藥皂都有什么作用呢?下面就來說說上海藥皂的功效與作用,一起來了解下吧。...