鼻咽粘膜充血是鼻咽癌嗎鼻咽黏膜充血不一定就是鼻咽癌,也有可能是其他原因導致,比如鼻鼻竇炎等。那我就總結一下預防鼻咽癌最重要的三個點。鼻咽癌的發病原因是什么鼻咽癌的發病原因較多,較為常見的為遺傳病毒感染以及環境因素等。

鼻咽粘膜充血是鼻咽癌嗎鼻咽黏膜充血不一定就是鼻咽癌,也有可能是其他原因導致,比如感冒、鼻咽炎、鼻竇炎等。那我就總結一下預防鼻咽癌最重要的三個點。鼻咽癌的發病原因是什么鼻咽癌的發病原因較多,較為常見的為遺傳因素、病毒感染以及環境因素等。
黑都是污垢原因鼻咽癌頭頸部放療沒幾個喉嚨是可以完好無損的。咳痰出血的原因有很多,咽喉炎、鼻咽癌會出血,肺結核會出血,腳炎、肺癌也會出血,你出血那么頻繁你要重視,建議你去做個全面的檢查,確定一下病因吧!

一些研究報告上檢測到,發表說明指出鼻咽癌的基因定位在患者上,這就有了癌基因的說法,在癌基因中,是有很多種的異常蛋白質的,這都是導致鼻咽癌發生的原因。)2.遺傳因素:有鼻咽癌家族史者鼻咽癌發病風險增加。
3.環境因素:居住在鼻咽癌高發區的人群發病風險增加。我是一名鼻咽癌患者:關于放療的注意事項我有話說!我自己總結:同期很多病友脖子傷口是因為洗澡去搓造成的。3.環境因素:如長時間生活在有甲醛、亞硝胺等物質的環境當中,對咽喉造成刺激和損傷,也有很大可能引起鼻咽癌。
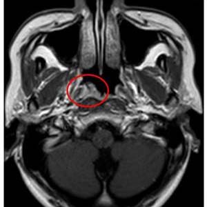
1.鼻咽癌:鼻咽癌是鼻咽部惡性腫瘤,由于腫瘤組織會刺激、破壞鼻咽部正常黏膜和組織,因此會出現鼻咽黏膜充血的現象,出現鼻涕帶血、鼻塞等癥狀。1.遺傳因素:鼻咽癌發病具有家族聚集性,如家族當中尤其是直系親屬當中有鼻咽癌患者,則后代的患病率響度來說會更高一點。

2.病毒感染:比較典型的就是EB病毒、冠狀病毒感染等,這些病毒會參與到鼻咽癌的發展過程當中,也就是說發生病毒感染未及時治療,也可能導致鼻咽癌問題。是一種常見的惡性腫瘤,其發生范圍很廣,比如80%以上的鼻咽癌患者在次檢測到淋巴結轉移。
隨著病情的發展,還會表現出與之相對應的臨床表現,比如:鼻咽癌會有回吸涕帶血,嚴重時會影響到顱神經,比如頭痛、上瞼下垂等,還會導致軟腭癱瘓,聲音嘶啞,伸舌偏斜等。鎳元素可促進亞硝胺誘發鼻咽癌,酒精和煙草、維生素缺乏、性激素失調都增加黏膜對致癌物的敏感性。
今天我們來聊聊最常見的“玻璃酸鈉”。玻璃酸鈉滴眼液屬于人工淚液,主要功效是治療干眼癥。而且有一些人由于體質原因是不可以注射玻璃酸鈉的。我剛才說了,玻璃酸鈉它的特三個特點:個不能被吸收,不能...
如果這樣下去很危險,血糖不平穩還常吃冰糖,血糖有高就會有低,低血糖會要命的。咳嗽蘿卜白糖,金桔冰糖,冰糖燉梨,血糖呼呼的上。外面的冰糖瓜5一斤,美團才一塊多,劃算又甜,這樣用勺子挖吃太爽了,天天干半邊,...
過度的精神壓力和勞累,特別容易導致人體內的腎上腺素和皮質醇分泌增加,對身體產生副作用,出現所謂的“腎虛”癥狀。腎上腺素是一種可以提高血壓的激素。例如,當人體分泌過多的腎上腺素,會導致心肌缺血...
青椒木耳炒雞肉,讓你的餐桌更加豐富。這樣做出來的青椒木耳炒雞肉又香又嫩,非常美味。還原我瘦了40斤經常吃的家常炒菜:芹菜木耳炒雞肉。木耳嫩滑爽口,雞肉肉香濃郁,很好吃。這道木耳炒雞肉營養又健康...
另外腰果中的油脂含量高,能夠起到潤腸通便的作用。經常食用腰果能強身健體,提高機體抗病能力等作用。因此,腰果有調節血脂的作用,適合高脂血癥患者適量食用。腰果營養豐富,含有維生素A、維生素C、維生...
每天洗臉你的臉真的洗干凈了嗎?清潔是最基礎的保養。姐妹們,每天洗臉怎樣才可以把臉洗的更干凈?特別是t字區毛孔粗大,普通手洗是很難清理干凈的。為什么喜歡來施瑞萊洗臉?因為他家比較干凈整潔,美容椅...
判斷一個樓盤是否為“闌尾炎”,首先要了解景德鎮目前是否存在類似的問題。實際上,景德鎮目前并沒有出現過任何一個真正意義上的“闌尾炎”樓盤。什么是闌尾炎樓盤?景德鎮有沒有闌尾炎樓盤?聽聽老郭的...
他一個人在這邊買的多了他也吃不完,為什么買這些水果?這些水果都是補鉀的,就是缺鉀引起的癥狀。后備箱打開,這都是補鉀的,給你搞點水果。黃金椰棗是心臟最喜愛的水果之一,主要是由于椰棗中含有的鉀。第...
月子期咳嗽了能喝鴿子湯嗎月子期間咳嗽是可以適量喝鴿子湯的。鴿子咳嗽喝可樂靠譜嗎?我看他們說鴿子咳嗽氣喘,給它喝可樂非常好。鴿子咳嗽什么原因造成的?咳嗽吃鴿子蛋很好。...
00克豬前排16元,燉土豆紅蘿卜,或者是清蒸都可以吃一天。現在開始切蘿卜啦,把這些頭和底部的都全部都切掉。開始切蘿卜了,蘿卜切成這種長條就可以了。這個是水果胡蘿卜,這個是直接可以吃的胡蘿卜。冬吃...
硒是人體的生命之火,是人體內不可缺少的營養成分,生活中很多水果都含有硒元素,但你知道含硒第一名的水果是什么嗎?含硒高的水果又有哪些呢?跟水簇養生網一起來看看吧。...
一級夫妻性生活的年紀大概在20歲到50歲左右,如果是一種比較好的情況下,性生活的頻率一般在10到20分鐘左右,如果是比較差的夫妻,性生活的頻率可能會受到很多因素的影響,有些人可能會擔心,性生活的質量不...
黃ba等中草藥可用于治療多種男科疾病。 可是不應過多使用。 畢竟,該藥具有三點毒性,并且肯定會引起身體某些副作用,尤其是對腎功能的影響,將產生非常大的影響,因此一定應該引起注意, 可能會繼續導致自...
三道鱗魚是歐美鯽魚的一種變異魚,它在人體表面的鱗片很大。所以在歐洲的一些地區,經常有人用三道鱗魚來曬蝦米作為鏡子,所以三道鱗魚也有另外一個名字,鏡魚。如今,三道鱗魚已經被引入中國許多地區進行...
在我們的日常生活中,桂花酒屬于一種常見的酒,具有桂花樹的香味和多種營養元素,特別適合冬季飲用。桂花酒可以暖身祛寒作用,還可以合理減少疲勞功效,改善睡眠質量等。...
許多人喜歡在冬天去釣魚。在這種情況下,米酒通常被用作巢的材料。對于一些更有經驗的人來說,筑巢是非常好的。然而,許多人沒有做好并死去。死亡巢穴的出現有很多原因。可能是制作巢料時香料的味道太...
三角肌 注射是預防接種醫院門診的重點工作。精確定位和選擇合適的位置對于確保安全注射非常重要。三角肌注射/的正確方式是什么?三角肌宜注射方法是將右手收緊在部分皮膚上,將無名指固定在針上,使針...
我堅信很多人都吃過馬鮫魚,這是一種有價值的魚,營養含量很高,比如蛋白質豐富多彩。另外,馬鮫魚含有維生素A和各種礦物質元素。據了解,食用馬鮫魚具有補氣養血的功效,還具有止咳化痰的功效。女性可以通...
夏天很多人喜歡買泥鰍吃。泥鰍有很多做法,比如蒸、炸等等。它是一種人們非常喜歡吃的食物。而且泥鰍的營養價值也很高,但是每次吃的時候處理掉泥鰍是個麻煩的問題,尤其是如果內臟需要清理的話。所以...
相信很多人都用過上海藥皂,它是中國上海第一塊特效除菌皂,那么上海藥皂都有什么作用呢?下面就來說說上海藥皂的功效與作用,一起來了解下吧。...